
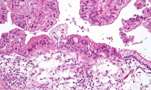
The Georgia Tech Integrated Cancer Research Center has combined machine learning with information on blood metabolites to develop a new early diagnostic test that detects ovarian cancer with 93 percent accuracy.

The annual Atlanta Science Festival will host over 150 science-themed events across the metro Atlanta area over three weeks this March — here’s how you can be a part of it.

Ascend, a new career development program for mid-career faculty, launched its cohort for Spring 2024.

Georgia Tech researchers have engineered one of the world’s first yeast cells able to harness energy from light, expanding our understanding of the evolution of this trait — and paving the way for advancements in biofuel production and cellular aging.
